オールオン4(ノーベルガイド)
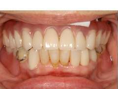
上顎のオールオン4を歯肉を切開せずにインプラント体を埋入
ノーベルガイドとは?
インプラントシミュレーションソフトによって事前に正確なプランニングを行ってから施術するシステムです。施術箇所の詳細な状態がわかるので、安全で確実なオペ計画が立てられるほか、ほとんどの症例で歯肉を切開する必要がなくなります。
歯肉の切開や縫合、人工歯根埋入位置の検討などが必要なくなるため、インプラント治療全体の時間が短縮できます。また、難しい角度の埋入が容易になり、インプラントを埋入したい部位にほとんど誤差なく埋入できるようになりました。

患者様のお口の型を採り、歯がない部分に理想的な形の歯を配置したマウスピース「ラジオグラフィックガイド」を作製した後、丁寧な診断を行い、CT撮影を行います。
CT撮影によって得られたデータを利用して、三次元画像をもとにしたインプラントの埋入位置、長さ、太さ、骨質の診査などのシミュレーションを行います。
詳細な治療計画を立案し、患者様のご理解と同意を得られたうえで治療に入ります。
CT撮影によって得られた情報(骨の厚みや硬さなど)を技工所に送信し、インプラントを正確に入れるための患者様に合わせたサージカルテンプレート(マウスピース状のガイド)と上部構造を作製します。
サージカルテンプレートを用いることで切開・粘膜剥離の必要がなくなるため、手術時間が短縮されるほか、出血や合併症などの危険も大幅に抑えられます。
持病をお持ちの方や高齢者に対しても安全な治療が実現します。
後方の傾斜埋入が、上顎洞の淵ギリギリをピンポイントで埋入されていることに注目。
難しい傾斜埋入が、ガイドにて容易に行えます。
最終的に入れる人工歯ができあがるまで使用する仮歯を作製して装着します。仮歯としての役割だけでなく、歯肉の状態を整える役割もあります。
ノーベルガイドによる正確なデータに基づいているため、インプラント埋入後はほとんど調整の必要なくセットできる上部構造が完成します。
数ヶ月後、最終的な上部構造を装着し、治療が完了します。
最終補綴物のメタルフレームは「プロセラインプラントブリッジ(PIB)」にて作成しています。
メタルフレームはチタンを使用しているため、生体親和性が高く、軽くて、多数歯補綴ではリーズナブルに上部構造が完成します。
プロセラインプラントブリッジは削り出し(鋳造ではない)なので寸法変化が少なく、非常に精密な加工が可能なため適合が良いという特長があります。
そのため、ほとんど違和感を感じることなく生活して頂くことができます。

世田谷区三宿で切らないインプラント治療をご希望の方は無料相談へ

のぶ:デンタルクリニック三宿では、切開を行わない低侵襲インプラント治療についての様々な質問に回答する無料相談(セカンドオピニオン)を行っています。インプラント治療を行う時のリスク、また歯を失った時に選べる治療法の説明も行います。東京都世田谷区三宿でインプラント治療をご希望の方はお気軽にご相談ください。







