前歯部審美治療例(インプラント)
右上2番目の歯を抜歯後、その日のうちにインプラントと仮歯装着
でに差し歯になっており、歯の根が折れてしまっているため保存できませんでした。その他の歯はしっかり神経が残っていましたが、レジン(歯科用プラスチック)で何ヶ所も修復されているため、見た目はあまりよくありません。
右上2番の歯は抜歯が必要だと判断しました。そこで今回の症例では、身体に負担が少なく、周りの歯周組織のダメージも少なく、治癒期間中も日常生活に支障が出ない、「抜歯即時インプラント」の埋入オペを選択しました。
オペ直後の写真です。まずは、右上にあった歯を特別なテクニックを用いて慎重に抜歯しました。抜歯後、時間をおかずにそのままインプラントを埋入しています。
オペを行った箇所の周囲の組織をご確認ください。ほとんど傷がついていないことがわかるかと思います。この時点で周りの組織が傷ついてしまうと、治療にも時間がかかってしまいます。
埋入したインプラントに、仮歯を装着した状態です。インプラントを埋入した結果、しっかりと固定されたため、即日に仮歯を装着しました。
しばらくはこの仮歯を使用していただくことになります。定期的に確認したところ、術後の痛みや腫れはほとんどなく、日常生活も快適に送れているとのことでした。
仮歯を使って日常生活を続けることで、歯肉の状態が整って正しい型取りができるようになります。
仮歯の装着から約6ヶ月が経過し、最終補綴物を作るための型取りの段階になりました。レントゲン写真を見ていただくとわかるように、インプラントがしっかりと固定されています。
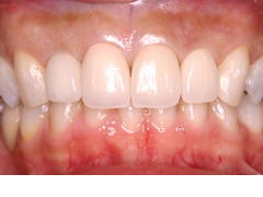
型取りを行って作成した最終補綴物をセットした状態です。上部構造と周りの天然歯の被せ物には、強度・審美ともに優れたジルコニアのフレームを使用しました。
写真をじっくり見ていただいても、どの歯がインプラントか見分けがつかないのではないでしょうか?審美的に美しいことは当然ですが、機能的にも本物の歯に劣らない歯が仕上がりました。
世田谷区三宿で前歯のインプラント治療をご希望の方は無料相談へ

のぶ:デンタルクリニック三宿では、インプラント治療についての様々な質問に回答する無料相談(セカンドオピニオン)を行っています。インプラント治療を行う時のリスク、また歯を失った時に選べる治療法の説明も行います。東京都世田谷区三宿でインプラント治療をご希望の方はお気軽にご相談ください。







