ホワイトニング
投稿日:2016年9月3日
カテゴリ:未分類
のぶ:デンタルクリニック三宿で行っているホワイトニングはCrystal Cool Whiteningというもので
痛くない・熱くない・照射時間はたったの5分というものです。
実際は1日で白くなって頂きたいために3~5回ほど照射を行いますので、治療時間としては1時間ほど頂きますが何回照射を行ったとしても、全く歯に影響はありません。
通常のホワイトニング機械のLEDライトの10倍ほどの強さの機械を使用しています。(光が強いほどホワイトニング効果があります)
ブルーのLEDライトを当てるだけで、歯周病菌の除菌もできる…とか。
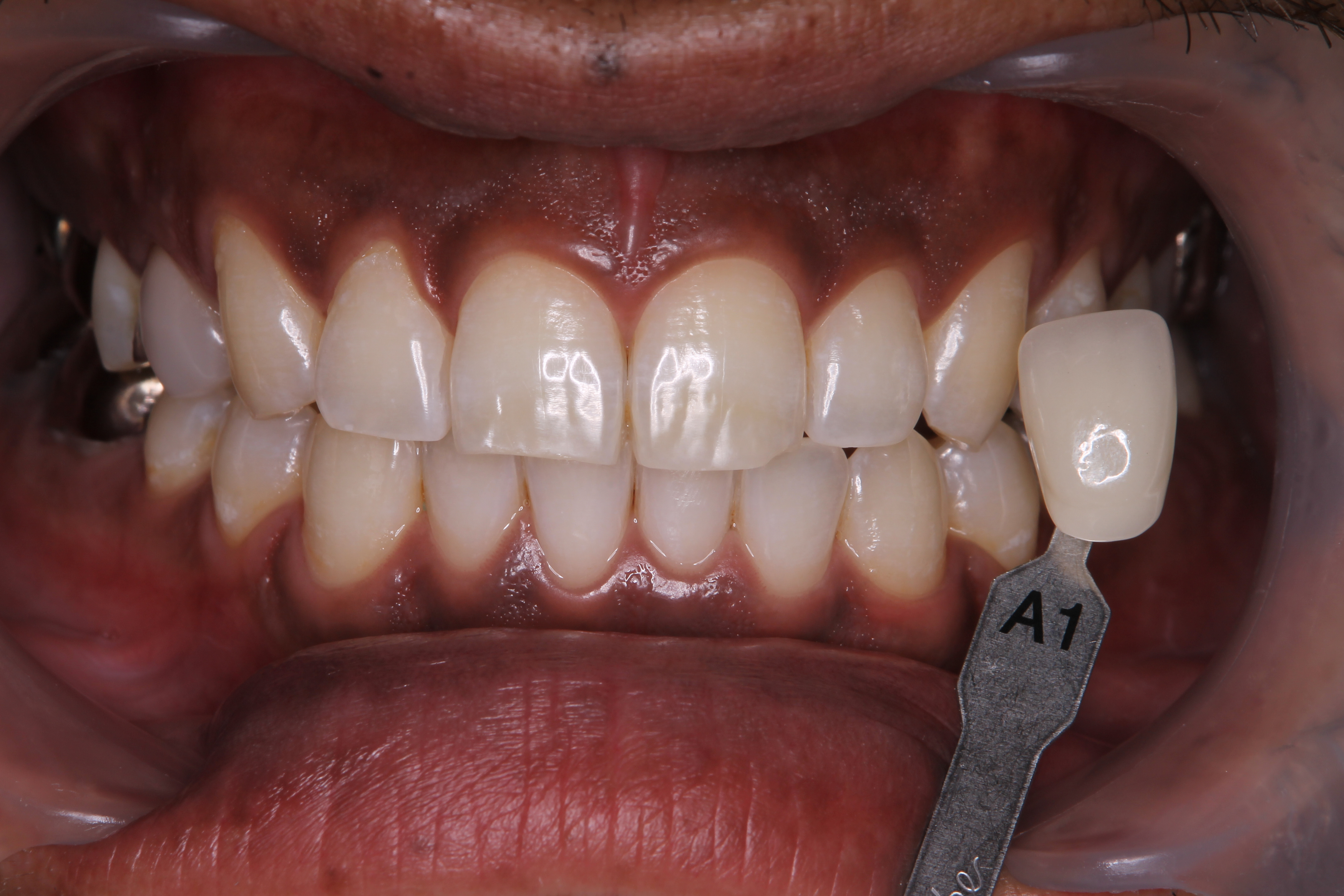
この間おこなったホワイトニングです。彼は友人なので写真撮らせてもらいました☆痛みが全くないので爆睡中…本人はいつ撮られたか気付いてないでしょう( *´艸`)
もともとA3(日本人の平均的な色)の色味でしたが、5回照射でA1(A系統の中で一番白い)まで白くなりました。

クリーニングなどは行っていませんが、一緒に歯のヤニやステインも取れてます。
歯が白くなったことで歯茎の黒ずみが気になるようになりました(笑)
…次はガムピーリングだね♪♪
友人がガムピーリングしに来たらまたブログに載せさせていただきます☺
ochi
■ 他の記事を読む■







