親知らずの抜歯
投稿日:2017年4月24日
カテゴリ:口腔外科
まっすぐ生えていて、上下でしっかり噛み合っており、ホームケアでしっかり管理可能な親知らずは別として、歯肉や骨に中途半端に埋まっていたり、斜めに生えていて管理の難しい親知らずや、虫歯や歯周病になってしまった親知らずは、早期に抜歯してしまった方が良い事が多いです。
管理が難しいと、細菌が増える温床になるので、口の中全体が不潔になりますし、手前の残さなければならない歯が虫歯や歯周病になってしまって最悪 親知らずと一緒に抜歯しなければならなくなるケースもあります。
歯並びに関して言えば、斜めに生えてこようとする事で、手前の歯が押されて歯並びが悪くなったり、矯正治療を行う際に邪魔になったりします。
特に、女性の方で 抜いた方が良い親知らずを 痛みがないから という理由で放置しておくと、妊娠されて、体調が不安定になり 歯磨きがおろそかになる事で 急に腫れて痛み出したりします。 赤ちゃんへの影響を考えると あまり薬は出したくないですし、抜歯もなるべく避けたいですが、痛みがあれば止むを得ず治療が必要になったりします。 あ〜 あの時 抜いていれば・・・ と後悔される方を 何人見た事でしょう。
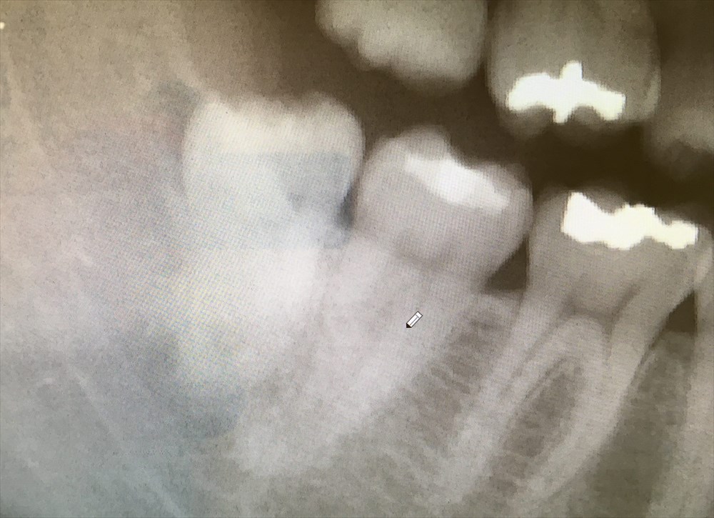
当院では、大学病院に紹介されるような親知らずも よっぽどのことがなければ (持病が重篤で全身管理が必要な方など・・)抜歯します。 現在では、難しい親知らずの抜歯に歯科用CTが適用されるようになりましたので、より安全に処置を行うことが出来るようになりました。
このように、2次元のレントゲンでは分かりにくい根の形も、CTなら事前に確認できます。


■ 他の記事を読む■







